Doar în anul 2018, în judeţul Galaţi au fost înregistrate 359 de noi cazuri de tuberculoză. În total, medicii pneumologi au luat în evidenţă, anul trecut, aproape 500 de îmbolnăviri, ceea ce ne situează în continuare printre judeţele cel mai puternic afectate de această boală. Dr. Marta Lefter, medic pneumolog, spune că tuberculoza este o afecţiune care nu alege, oricine putându-se îmbolnăvi.
Datele europene arată că România este prima ţară din Uniunea Europeană în ceea ce priveşte numărul cazurilor nou depistate de tuberculoză raportate la numărul locuitorilor. În acelaşi timp, ţara noastră are şi una dintre cele mai mici rate de vindecare a bolii. „Anul trecut, am avut 496 de cazuri luate în evidenţă, dintre care 359 de cazuri noi, 15 la copii. Au fost 92 de recidive, faţă de 99, în 2017, dar şi zece cazuri de eşec al tratamentului. 11 cazuri au fost de pacienţi cronici, readmişi în tratament, bolnavi aflaţi deja la al treilea tratament. În ciuda numărului mare de îmbolnăviri, tendinţa în ceea ce priveşte incidenţa tuberculozei este în uşoară scădere. Totuşi, suntem departe încă de a vorbi de eradicarea bolii”, explică pentru „Viaţa liberă”, dr. Marta Lefter, coordonatorul judeţean al Programului Naţional de Control al Tuberculozei.
"Am tratat de tuberculoză profesori şi medici"
Sărăcia este unul dintre factorii favorizanţi în apariţia acestei boli. Totuşi, nu toţi pacienţii provin din medii sociale defavorizate. „Tuberculoza este o boală care nu alege. Am tratat profesori şi medici sau avocaţi şi poliţişti, spre exemplu. În anumite condiţii, boala poate afecta pe oricine”, atrage atenţia dr. Lefter.
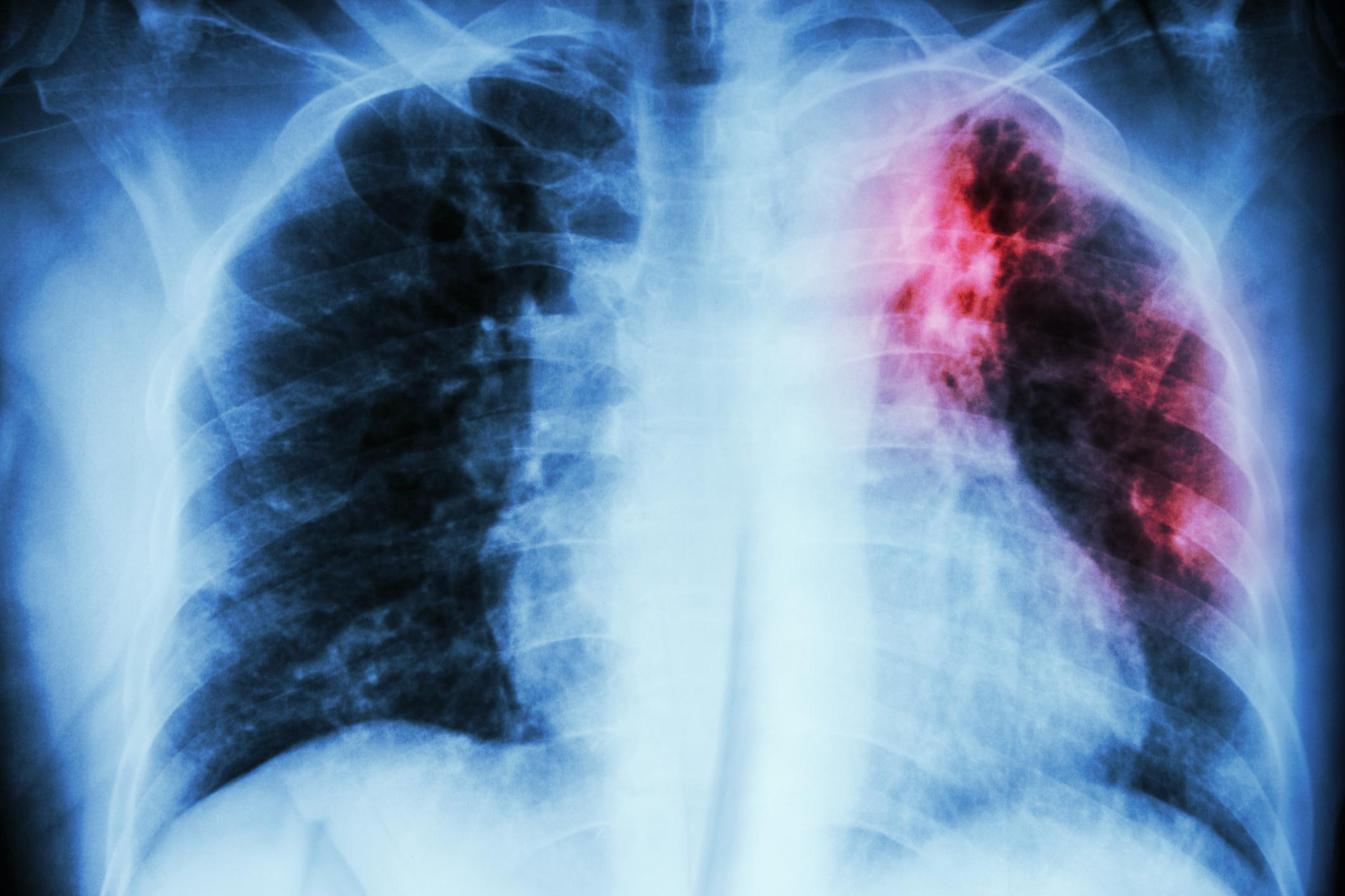
Simptomul cel mai caracteristic al TBC-ului este tusea persistentă (de peste trei săptămâni - n.r.), care se accentuează progresiv şi este însoţită de expectoraţie. Bolnavii mai pot avea febră, scăderea poftei de mâncare, slăbire nejustificată şi expectoraţie cu sânge. De cele mai multe ori, simptomele apar treptat, iar mulţi pacienţi întârzie să meargă la medic, sperând să le treacă. Trebuie ştiut însă că în această perioadă, înainte de prezentarea la doctor, bolnavii sunt foarte contagioşi. Cu cât se duc mai târziu la medic, cu atât vor infecta mai multă lume din jur.
Când trebuie să mergem la medic
Orice persoană care are simptome sugestive de tuberculoză (mai ales tusea persistentă) trebuie să se prezinte la medic. De obicei, i se recomandă un examen radiologic pulmonar care poate pune în evidenţă modificări care pot fi date de tuberculoză. "Spre deosebire de gripă, tuberculoza este mult mai puţin contagioasă, transmisia făcându-se, în special, pe cale aeriană. Din zece persoane infectate, două, cel mult trei, fac boala. Orice organ poate fi afectat de bacilul Koch (bacteria responsabilă de apariţia tuberculozei - n.r.), dar, cel mai frecvent, microbul afectează plămânul", explică medicul pneumolog Marta Lefter.
Conform wikipedia.org, specialiştii cred că o treime din populaţia lumii este infectată cu Mycobacterium tuberculosis, în vreme ce o nouă persoană se infectează în fiecare secundă. În 2007, s-au estimat 13,7 milioane de cazuri cronice active la nivel mondial. În 2010, s-au dezvoltat aproximativ 8,8 milioane de cazuri noi şi s-au înregistrat 1,5 milioane de decese asociate tuberculozei, majoritatea în ţările în curs de dezvoltare. Numărul total de cazuri de tuberculoză este în scădere, începând cu anul 2006, iar ce al cazurilor noi, din 2002.
O afecţiune care a însoţit omenirea de-a lungul istoriei
Tuberculoza a apărut la oameni încă din antichitate. Cea mai veche dovadă a bolii o constituie bacteria „M. tuberculosis” descoperită în fosilele unui bizon care a trăit în urmă cu aproape 17.000 ani. Pe de altă parte, nu se ştie cu exactitate dacă tuberculoza provine de la bovine, fiind transferată ulterior la om, sau dacă a apărut de la un strămoş comun.
Înainte de Revoluţia industrială, în tradiţia populară engleză şi nu numai, tuberculoza era adesea asociată cu vampirii. Atunci când unul din membrii unei familii murea din cauza acestei boli, ceilalţi membri ai familiei respective, care contractaseră şi ei infecţia, se îmbolnăveau şi ei treptat. Se credea că cel care s-a îmbolnăvit primul secătuieşte viaţa celorlalţi membri ai familiei sale.

