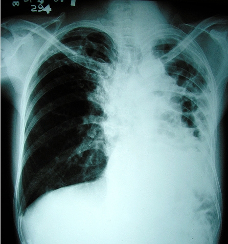
Pe 24 martie, este Ziua Mondială de Luptă Împotriva Tuberculozei, prilej cu care autorităţile publice din sănătate ne atrag atenţia asupra faptului că aceasta boală continuă să reprezinte o ameninţare serioasă. În cursul anului trecut, 517 gălăţeni au fost diagnosticaţi cu tuberculoză, dintre care 32 de copii cu vârste sub 14 ani. Galaţiul s-a situat, în 2011, pe locul V în ţară în funcţie de numărul de bolnavi de TBC. La momentul respectiv, coordonatorul tehnic al Programului Naţional de Control al TBC, dr. Marilena Tănase, ne informa că anul 128 de gălăţeni din 100.000 se prezintă la medic suferinzi de tuberculoză. Din nefericire, printre bolnavii gălăţeni se numără şi 29 de pacienţi în cazul cărora tuberculoza a dezvoltat o rezistenţă severă la medicamente. Astfel ca cazuri sunt destul de rare, anul trecut fiind înregistraţi circa 30.000 de pacienţi în întreaga lume.
Încă 517 gălăţeni bolnavi de tuberculoză Scris de Gabriel Kolbay
Gabriel Kolbay
Articole recente - Gabriel Kolbay
Ocolul ziarului în 30 de ani | Gabriel Kolbay: Oamenii care duc povestea orașului mai departe Cum s-a aprins scânteia schimbării, la Toflea Un cercetător CÂȘTIGĂ cât un paznic de noapte 300 de producători vă așteaptă la TÂRGUL DE TOAMNĂ Borş de peşte fără… borş de peşte
Mai multe din această categorie:

