Dacă vă sângerează gingiile frecvent, mai ales după ce vă spălaţi pe dinţi, este posibil să suferiţi de gingivită. Afecţiunea nu are simptome evidente la debut, aşa că ar putea trece foarte uşor neobservată, pacientul crezând că sângerările se datorează unor leziuni pe care şi le-a produs singur la nivelul gingiei, în timpul periajului. Totuşi, după un timp, veţi simţi că gingiile vă sunt inflamate şi veţi observa că sunt mai roşii decât de obicei - semn sigur că ceva nu este în regulă.
Din păcate, netratată, boala nu va dispărea de la sine, ba mai mult, va evolua spre stadii mai greu de tratat şi de vindecat. Cel mai bine ar fi, deci, să vă prezentaţi la medicul dentist, pentru control, în cazul în care apar sângerările. Aţi putea astfel să evitaţi un tratament care durează şi costă destul de mult, mai ales pentru un buzunar prin care şuieră vântul, pe timp de criză.
Risc de îmbolnăvire
Expuse pericolului de a se îmbolnăvi de gingivită sunt, în special, persoanele care nu au igienă orală corespunzătoare. Totuşi, există şi alţi factori care ar putea determina apariţia bolii, chiar şi în cazul în care persoana se spală pe dinţi regulat. Unul dintre aceştia este consumul de tutun - fumat sau mestecat.
Stresul sau alimentaţia săracă în proteine şi minerale poate, de asemenea, contribui la apariţia gingivitei, la fel cum o pot face şi anumite boli care provoacă imunodeficienţă sau anumiţi factori genetici. Şi schimbările hormonale pot afecta starea de sănătate a gingiilor, mai ales în cazul femeilor. Mare atenţie, în acest sens, şi la administrarea anticoncepţionalelor!
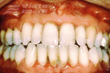
Evoluţia afecţiunii
Nu de puţine ori, bolnavul consideră că gingivita este un simplu disconfort. Aceasta poate, însă, evolua şi ajunge la paradontopatie. În acestă fază, simptomele sunt deja notabile, dar vindecarea este mai dificilă. Bolnavul simte mai tot timpul că gingiile sale sunt iritabile şi să se retrag de pe dinţi. Apare, de multe ori, şi respiraţie urât mirositoare, care va deveni o problemă şi pe plan social.
Uneori, dinţii pot deveni mobili, iar la rădăcina lor pot apărea pungi cu puroi. În aceste cazuri, este posibil să aveţi nevoie de intervenţia unui medic dentist specializat în paradontopatii sau chiar a unui chirurg maxilor-facial.
Profilaxia - cel mai eficient tratament
Se poate vedea, deci, destul de limpede că unii dintre factorii de risc enumeraţi mai sus - cum ar fi cei genetici, mulţi dintre cei care ţin de schimbările hormonale sau stresul - nu pot fi evitaţi. În rest, ţine numai de dumneavostră să vă asiguraţi că aveţi o igienă orală corespunzătoare şi că placa bacteriană nu vă atacă dinţii şi gingiile. În plus, consumul de tutun sub orice formă ar trebui evitat, pentru că favorizează menţinerea plăcii bacteriene.

					
		
		  
	